- A-
- A+
孩子感冒咳嗽看似常见,
可12岁女孩笑笑(化名)的经历
却让人感到后怕——
仅发热1天,左肺就变成了 “白肺”,
呼吸急促到无法平躺,
血氧饱和度勉强维持在90%左右,
情况十分危急!

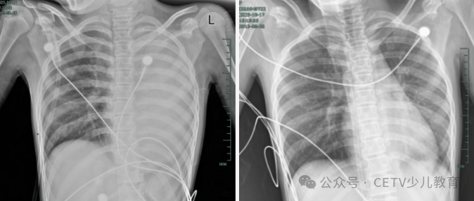
治疗前后影响对比,左肺从“白肺”到正常状态。
什么病?如此来势汹汹?
危险藏在黏液里
据介绍,笑笑一开始只是轻微咳嗽,发热到38℃,检查提示肺炎、肺不张,转诊到浙大四院儿科时,病情已经急剧恶化。
呼吸急促、胸闷胸痛,体温38.5℃,只能靠 5L/min 的面罩吸氧维持血氧,胸片显示左肺已完全呈 “白肺” 改变,肺部炎症进展迅猛。
儿科虞琳副主任医师判断
笑笑极有可能是患上了
“塑型性支气管炎”

这是一种肺部感染的严重肺内并发症,由不同原因引发的支气管内生性异物阻塞疾病,会导致支气管阻塞、通气和气体交换功能障碍,主要症状为呼吸困难、喘息、胸痛及发热,严重时会引发危及生命的呼吸循环衰竭。
医生介绍,塑型性支气管炎是儿童期凶险的呼吸道急症,常见于2~12岁儿童,多由流感病毒、肺炎支原体、腺病毒等病毒或细菌感染引发。起病隐匿、进展快,容易误诊漏诊,若不及时治疗,可能遗留闭塞性细支气管炎、支气管扩张症等后遗症,严重时直接危及生命。
“这种病的凶险之处在于,
气道会被大量
胶冻状的黏液栓和支气管塑型堵塞,
就像呼吸通道被‘水泥’ 封住,
氧气进不去、二氧化碳出不来,
随时可能窒息。”
接下来的支气管镜手术也印证了这一点。孩子的气道黏膜充血水肿,大量黄白色黏痰不断涌出,左主支气管及各肺段开口已被黏液栓完全堵死!

由于治疗及时精准,目前笑笑已顺利出院,没有留下严重的并发症。
后续检查发现,引发她此次感染的是毒力极强的铜绿假单胞菌,多发生在免疫功能低下人群。
医生提醒:孩子出现这些症状
千万别拖延,尽快就诊!
孩子感冒咳嗽后出现持续发热、喘息加重、呼吸急促、胸闷胸痛、胸片或CT提示“肺不张” “肺实变”,尤其是症状在短时间内快速恶化时,一定要立即就医,切勿当作普通感冒拖延。
来源| 北京新闻 中国新闻网
声明| 本文只为传递信息,如存在文章/图片/音视频等资源使用不当的情况,请联系CETV少儿教育。
一审一校| 夏天
二审二校| 王曼
三审三校| 王双